Published: 2025-08-15

Views | PDF/EPUB Downloads : 198 / 38 / 17
DOI: https://doi.org/10.82235/wajr.vol24no1.359

A Technique for Appropriate Inferior Collimation in Chest Radiography of Asymptomatic Negroid Adults

Thomas Adejoh, Hyginus C Ezeh, Michael E Aronu, Christian C Nzotta, Stanley O Nwefuru (Author)

52-55

Views | PDF/EPUB Downloads : 243 / 25 / 23
DOI: https://doi.org/10.82235/wajr.vol24no1.361
Views | PDF/EPUB Downloads : 245 / 76 / 26
DOI: https://doi.org/10.82235/wajr.vol24no1.362
Views | PDF/EPUB Downloads : 271 / 27 / 25
DOI: https://doi.org/10.82235/wajr.vol24no1.363

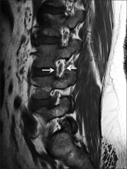
Cross-sectional Study on Incidental Spinal Findings in Magnetic Resonance Imaging Lumbar Spine of Patients with Low Back Pain

Dr. Binoj Varghese, Arun C Babu, Ashok Kumar, PS Priya, Jaison S John, Mohammed Noufal, KM Sivasubramaniyan (Author)

38-44

Views | PDF/EPUB Downloads : 155 / 44 / 38
DOI: https://doi.org/10.82235/wajr.vol24no1.364

Magnetic Resonance Imaging of Lumbosacral Intervertebral Discs in Nigerians with Low Back Pain

Ademola Joseph Adekanmi, Temitope Olugbenga Bello , Dr. Omolola Mojisola Atalabi, Kamaldeen O Jimoh, Oluremi Ayotunde Ogunseyinde (Author)

61-67

Views | PDF/EPUB Downloads : 338 / 55 / 20
DOI: https://doi.org/10.82235/wajr.vol24no1.365

Normal Second and Third Trimester Uterine and Umbilical Doppler Indices among Healthy Singleton Gestation Nigerian Women

Ademola Joseph Adekanmi, Adebola Roberts, Abiodun Oludotun Adeyinka, Eric Okechukwu Umeh, Franklin Anor, Joseph Chidi Odo, Adeniyi Olorunfemi Fagbohun (Author)

1-7

Views | PDF/EPUB Downloads : 303 / 37 / 20
DOI: https://doi.org/10.82235/wajr.vol24no1.366
Views | PDF/EPUB Downloads : 190 / 49 / 22
DOI: https://doi.org/10.82235/wajr.vol24no1.367

Pattern of Lumbosacral Magnetic Resonance Imaging Findings in Diagnosed Cases of Disc Degenerative Disease among Nigerian Adults with Low Back Pain

Uzoamaka Rufina Ebubedike, Eric Okechukwu Umeh, Godwin I Ogbole, CA Ndubuisi, Wilfred C Mezue, Samuel C Ohaegbulam (Author)

25-29

Views | PDF/EPUB Downloads : 308 / 33 / 27
DOI: https://doi.org/10.82235/wajr.vol24no1.368
Views | PDF/EPUB Downloads : 214 / 29 / 28
DOI: https://doi.org/10.82235/wajr.vol24no1.369
Views | PDF/EPUB Downloads : 282 / 25 / 19
DOI: https://doi.org/10.82235/wajr.vol24no1.370

Transarterial Embolization of Nonvariceal Gastrointestinal Bleeding: Our Experience

Dr. Sheo Kumar, Basant Kumar, Archana Gupta, Laxmi Kant Bharti, Anuj Thakral (Author)

56-60

Views | PDF/EPUB Downloads : 133 / 28 / 28
DOI: https://doi.org/10.82235/wajr.vol24no1.371
Views | PDF/EPUB Downloads : 77 / 35 / 26
DOI: https://doi.org/10.82235/wajr.vol24no1.345

Abdominal Wall Endometriosis Ten Years after Surgery

Dr. Kemal Arda, Halil Ibrahim Serin (Author)

96-98

Views | PDF/EPUB Downloads : 213 / 28 / 24
DOI: https://doi.org/10.82235/wajr.vol24no1.346

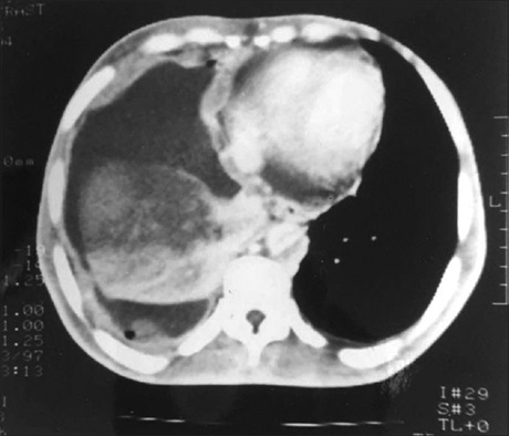
Asymptomatic Unilateral Pulmonary Hypoplasia/Agenesis in Adults: A Report of Six Cases

Prof. Funsho Komolafe, Mohammed Haroun Dahniya, Al-Ali Yesar, Al-Zaabi Lemya, Aziz Fadhil (Author)

99-103

Views | PDF/EPUB Downloads : 271 / 39 / 18
DOI: https://doi.org/10.82235/wajr.vol24no1.347
Views | PDF/EPUB Downloads : 115 / 28 / 34
DOI: https://doi.org/10.82235/wajr.vol24no1.348
Views | PDF/EPUB Downloads : 281 / 21 / 33
DOI: https://doi.org/10.82235/wajr.vol24no1.349

Malignant Infantile Osteopetrosis

L Appaji, BS Aruna Kumari, K Govind Babu, Dr. Gita R Bhat (Author)

76-78

Views | PDF/EPUB Downloads : 163 / 21 / 19
DOI: https://doi.org/10.82235/wajr.vol24no1.350

Multisystemic Anomalies in Conjoined Twins: The Role of Imaging in Management

Dr. Mohammed Kabir Saleh, Austine Abebe Osawe, Idris Sule Kazaure, Mohammad Abba Suwaid, Abdulkadir Musa Tabari, Kabiru Isyaku, Isma’il Anas (Author)

86-89

Views | PDF/EPUB Downloads : 263 / 31 / 24
DOI: https://doi.org/10.82235/wajr.vol24no1.351

Muscle Metastasis from Prostate Cancer

Dr. Andrianah Emmylou Gabrielle Prisca, Rajaonarison Ny Ony Narindra Lova Hasina, Razafindraibe Kanto Adrienne, Ahmad Ahmad (Author)

90-92

Views | PDF/EPUB Downloads : 215 / 39 / 23
DOI: https://doi.org/10.82235/wajr.vol24no1.352

The Currarino Syndrome Presenting as Neonatal Intestinal Obstruction in a Nigerian Male Child

Dr. Sefiya Adebanke Olarinoye‑Akorede, Abdullahi O Jimoh, Aliyu O Akano, Nuhu Dang Chom (Author)

82-85

Views | PDF/EPUB Downloads : 257 / 24 / 20
DOI: https://doi.org/10.82235/wajr.vol24no1.354

Ultrasound-guided Thrombin Injection for the Treatment of Iatrogenic Pseudoaneurysm of the Right Brachial Artery

Sadisu Mohammed Maaji, Madhan Kumar, Sanjeev Kumar, Dr. Gurpreet Singh Gulati (Author)

71-75

Views | PDF/EPUB Downloads : 214 / 29 / 28
DOI: https://doi.org/10.82235/wajr.vol24no1.355

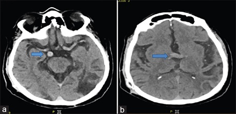
Vertebrobasilar Dolichoectasia

Dr. Eswaradass Prasanna Venkatesan, Ramasamy Balakrishnan, Kalidoss Ramadoss, G. Gnanashanmugham (Author)

93-95

Views | PDF/EPUB Downloads : 88 / 42 / 17
DOI: https://doi.org/10.82235/wajr.vol24no1.356
Views | PDF/EPUB Downloads : 193 / 27 / 22
DOI: https://doi.org/10.82235/wajr.vol24no1.358

MSK Radiology 4U: The Premiere Musculoskeletal Imaging Resource

Christine Azzopardi, Cass Chisholm, Steve James, Rajesh Botchu, A Mark Davies (Author)

116

Views | PDF/EPUB Downloads : 61 / 26 / 23
DOI: https://doi.org/10.82235/wajr.vol24no1.372