A Rare Presentation of Congenital Tetralogy of Fallot with Dysplastic Ascending Aorta
Main Article Content
Abstract
Aim: A case report of a 23 year-old female, with congenital heart lesions and the clinical features slightly at variance with Tetralogy of Fallot.
Method: Combined clinical assessment of patient and evaluation with chest x-ray and gray scale cardiac ultrasound was done.
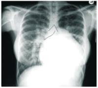
Results: Clinical assessment of the patient showed the following; palpitations, easy fatigability, cough, finger clubbing, orthopnoea, and lately significant precordial hyperactivity and tachypnoea on exertion. The chest x-ray and cardiac ultrasonography showed structural defects consisting of hypoplastic ascending aortic arch, with aortic root overriding inter-ventricular septal defect, right heart chamber enlargement, and congested pulmonary outflow track.
Conclusion: There was hypoplastic ascending aortic trunk (instead of hypoplasia of pulmonary trunk) a slight variation from the components of Tetralogy of Fallot. The probability is that this may have sustained the patient to adult hood. This is a rare occurrence in literature. Limitation of evaluation is also discussed.
Downloads
Article Details
Section

This work is licensed under a Creative Commons Attribution-NonCommercial 4.0 International License.
This is an open access journal, and articles are distributed under the terms of the Creative Commons Attribution-NonCommercial-ShareAlike 4.0 License, which allows others to remix, tweak, and build upon the work non-commercially, as long as appropriate credit is given and the new creations are licensed under the identical terms.
How to Cite
References
1. Wilde P, Boothroyd A: Congenital Heart Disease. Text Book of Radiology and Imaging, edited by David Sutton seventh Edition, Churchill Livingstone-Elsevier limited 2003. page 363-410.
2. Linker DT: Practical Pediatric Echocardiography of Congenital Heart Disease. Edinburgh; Churchill Livingstone; (2000),
3. Davidson's principles and practice of Medicine edited by John Macleod Twelfth edition 1977 page 236 Churchill Livingstone.
4. Blake KD, Prasad C: Charge syndrome. Orphanet J Rare Dis. 2006; 1(1):34.
5. Van Mierop LH, Kutsche LM: Cardiovascular anomalies in DiGeorge syndrome and importance of neural crest as a possible pathogenetic factor. Am J Cardiol. 1986;58(1): 133-137.
6. Wheeler YY, Russop P, Garter GA, Lababidi 2, Luger AM, Tobias JD: Tetralogy of Fallot, hypertrophic cardiomyopathy, and Down's syndrome: a rare and challenging. combination, Pediatr Dev Pathol, 2006; 9(4): 307-311.
7. Chowdhury UK, Kothari SS, Pradeep KK: Anomalous origin of right coronary artery from the left anterior inter-ventricular coronary artery in the setting of tetralogy of fallot. Cardiol Young 16(5):501-503.
8. Calder AL, Brandt PW, Barratt-Boyes BG, Neutze JM; Variant of tetralogy of fallot with absent pulmonary valve leaflets and origin of one pulmonary artery from ascending aorta. Am J Cardiol, 1980;46(1): 106-116.
9 Kutsche LM, Van Mierop LH: Anomalous origin of a pulmonary artery from the ascending aorta: associated anomalies and pathogenesis. Am J cardiol. 1988 Apr 1;61(10): 850-860,
10. Crawford, Watson DG, Joransen JA: Tetralogy of fallot with co-existing type II aortopulmonary window. Ann Thorac Surg 1981;31(1):78-81.
11. Rev C, Coeurderoy A, Dupuis C: Coarctation of the aorta and fallot's tetralogy. Apropos of 2 cases. Arch Mal Coeur Vaiss. 1984:77(5): 526-533.
12 Fujiwara K, Naito Y, Takagaki Y, Higashiue S, Takimoto M, Uemura S: A case report of compression of right pulmonary artery and bronchus by aneurysmal dilated ascending aorta in tetrelogy of fallot-suspension of ascending aorta. Nippon Kyobu Geka Gakkai Zasshi. 1989 feb3; 37(2): 374-378.
13. Nakajima Y, Nishibatake M, Ikeda K, Momma K, Takao A, Terai M: Abnormal development of fourth aorta arch derivatives in the pathogenesis of tetralogy of Fallot. Pediatr Cardiol, 1990 Apr; 11(2): 69-71.
14. Yoffey JM: Cardiovascular system. Text Book of Human Anatomy second Edition edited by Hamilton WJ. Macmillian Press Ltd; 1976 p201-295.
15. Iturralde Torres P: Ventricular arrhythmias and conduction disturbances in patients with corrected tetralogy of fallot. Arch Cardiol Mex, 2006; 76 Suppl 2:562-564,
16. Airan B, Choudhary SK, Kumar HV, Talwar S, Dhareshwar J, Juneja R, Kothari SS, Saxena A, Venugopal P: Total transatrial correction of tetralogy of fallot: no outflow patch technique. Ann Thorac Surg. 2006; 82(4):1316-1321.
17. Folino AF, Daliento L: Arrhythmias after tetralogy of fallot repair. Indian Pacing