Published: 2025-08-15

Acute Myocardial Infarction Presenting in a Woman with Multiple Cardiovascular Risk Factors: Case Report

Dr. Samuel, O. Ike, Dr. B. J. C. Onwubere, Dr. C. C. Okwara (Author)

40-44

Views | PDF/EPUB Downloads : 37 / 19
DOI: https://doi.org/10.82235/wajr.vol16no1.192

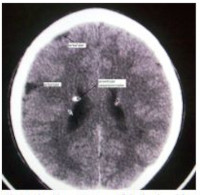
Brain Computerised Tomographic Findings In Elderly Nigerians With Alzheimer's Disease

Dr. A. O Adeyinka, Ogunseyinde Ayotunde Oluremi, Gureje Oye, Ogunniyi Adesola, Baiyewu Olusegun (Author)

17-24

Views | PDF/EPUB Downloads : 107 / 15
DOI: https://doi.org/10.82235/wajr.vol16no1.193

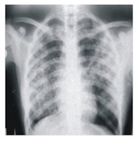
BURKITTS LYMPHOMA - 50 Years After Discovery - Review Article

A. I. Ntekim, Adamu Abdullhahi, A Ajekigbe, O. B. Campbell (Author)

55-60

Views | PDF/EPUB Downloads : 54 / 16
DOI: https://doi.org/10.82235/wajr.vol16no1.194
Views | PDF/EPUB Downloads : 67 / 21
DOI: https://doi.org/10.82235/wajr.vol16no1.195
Views | PDF/EPUB Downloads : 45 / 0
DOI: https://doi.org/10.82235/wajr.vol16no1.196

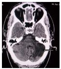
Neurocysticercosis- Temporal Bone Changes on Computed Tomography - A Case Report

DR. Ahmed Ahidjo, Dr Mustapha Z, Dr Moghalu VC, Dr Pindiga UH, Dr NGadda HA, Dr Mayun A, Dr Nyandaiti Y, Dr Wakil MA, Dr Umaru H (Author)

35-39

Views | PDF/EPUB Downloads : 191 / 23
DOI: https://doi.org/10.82235/wajr.vol16no1.197
Views | PDF/EPUB Downloads : 105 / 20
DOI: https://doi.org/10.82235/wajr.vol16no1.198

Sonographic Triad In Abdominal Pregnancy: Illustration With Four Cases

Dr Abdulkadir A. Yisau, O. A. M. Adesiyun, H. J. Akande, O. I. Oyinloye (Author)

50-54

Views | PDF/EPUB Downloads : 174 / 21
DOI: https://doi.org/10.82235/wajr.vol16no1.199
Views | PDF/EPUB Downloads : 169 / 24
DOI: https://doi.org/10.82235/wajr.vol16no1.202
Views | PDF/EPUB Downloads : 151 / 19
DOI: https://doi.org/10.82235/wajr.vol16no1.203
Views | PDF/EPUB Downloads : 34 / 25
DOI: https://doi.org/10.82235/wajr.vol16no1.201