Published: 2025-08-15

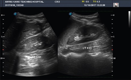
Nutcracker syndrome presenting as recurrent hematuria

Dr. Blessing Ose‑Emenim Igbinedion, Festus Oghanina Ehigiamusoe, Stanley Ngoka (Author)

127-131

Views | PDF/EPUB Downloads : 145 / 35 / 17
DOI: https://doi.org/10.82235/wajr.vol25no2.400
Views | PDF/EPUB Downloads : 184 / 26 / 13
DOI: https://doi.org/10.82235/wajr.vol25no2.404
Views | PDF/EPUB Downloads : 142 / 29 / 24
DOI: https://doi.org/10.82235/wajr.vol25no2.405
Views | PDF/EPUB Downloads : 296 / 18 / 17
DOI: https://doi.org/10.82235/wajr.vol25no2.406
Views | PDF/EPUB Downloads : 240 / 17 / 19
DOI: https://doi.org/10.82235/wajr.vol25no2.407

Thickness and texture of the squamous temporal bone in a Nigerian tertiary hospital

 Dr. Richard Busayo Olatunji, Richard C Efidi, Emmanuel E Uko, Ayotunde O Ogunseyinde (Author)

112-117

Views | PDF/EPUB Downloads : 310 / 29 / 25
DOI: https://doi.org/10.82235/wajr.vol25no2.408

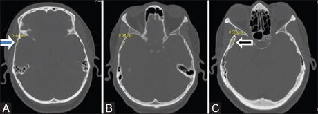
Unusual sites of intracranial metastases from renal cell carcinoma presenting only with neurological symptoms

Dr. Puneet Garg, Hira Lal, Swapndeep Atwal, Suparva Nayak, Alok K Udiya (Author)

132-135

Views | PDF/EPUB Downloads : 170 / 25 / 24
DOI: https://doi.org/10.82235/wajr.vol25no2.401
Views | PDF/EPUB Downloads : 212 / 22 / 24
DOI: https://doi.org/10.82235/wajr.vol25no2.402
Views | PDF/EPUB Downloads : 134 / 19 / 17
DOI: https://doi.org/10.82235/wajr.vol25no2.403

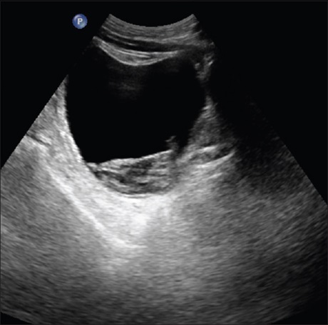
Further observations on the “spaghetti sign” in upper urinary tract hemorrhage

Prof. Funsho Komolafe, Sabir Hussain, Syed Waqar Hussain (Author)

136-140

Views | PDF/EPUB Downloads : 237 / 26 / 21
DOI: https://doi.org/10.82235/wajr.vol25no2.398

Hajdu–Cheney syndrome: A rare acro‑osteolytic disorder

 Dr. Mojisola Adejoke Olusola‑Bello, Ayodeji A Olatunji, Oluyemisi O Toyobo (Author)

124-126

Views | PDF/EPUB Downloads : 178 / 35 / 19
DOI: https://doi.org/10.82235/wajr.vol25no2.399