Published: 2025-08-15

Hybrid single‑photon emission computed tomography‑computed tomography: A review of literature

Dr. Garba Haruna Yunusa, Abubakar Farate, Abubakar K Lawal, Zabah Muhammad Jawa (Author)

121-127

Views | PDF/EPUB Downloads : 224 / 24 / 18
DOI: https://doi.org/10.82235/wajr.vol24no2.383

Diagnostic Reference Levels for Computed Tomography of the Head in Anambra State of Nigeria

Thomas Adejoh, Christian C Nzotta, Michael E Aronu, Musa Y. Dambele (Author)

142-146

Views | PDF/EPUB Downloads : 226 / 36 / 20
DOI: https://doi.org/10.82235/wajr.vol24no2.376

Estimation of Gastrointestinal Transit Time in the West African Mud Turtle, Pelusios castaneus (Schwinger 1812) using Contrast Radiography

 Dr. Folayemi Omotomilola Olayinka‑Adefemi, Godwin Inalegwu Ogbole, Adenike Olatunji Akioye (Author)

147-151

Views | PDF/EPUB Downloads : 168 / 24 / 23
DOI: https://doi.org/10.82235/wajr.vol24no2.377

Head computed tomography protocol audit and correction in two tertiary health institutions in Anambra State of Nigeria

Thomas Adejoh, Christian C Nzotta, Eric O Umeh, Michael E Aronu, Musa Y Dambele (Author)

157-161

Views | PDF/EPUB Downloads : 201 / 26 / 24
DOI: https://doi.org/10.82235/wajr.vol24no2.378

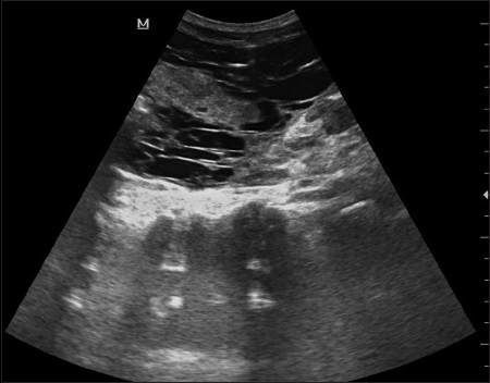
Normal ultrasound dimensions of newborn kidneys in Southwest Nigeria

Adejumoke I Ayede, Atinuke M Agunloye, Richard B Olatunji, Ibilola O Fawole, Ayodele S Jegede, Samuel I Omokhodion (Author)

128-134

Views | PDF/EPUB Downloads : 218 / 32 / 35
DOI: https://doi.org/10.82235/wajr.vol24no2.380

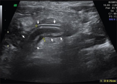
Sonographic evaluation of acute appendicitis and its complications

Dr. Soniya Daga, Sushil Kachewar, Dilip L Lakhkar, Kalyani Jethlia, Abhijeet Itai (Author)

152-156

Views | PDF/EPUB Downloads : 289 / 53 / 19
DOI: https://doi.org/10.82235/wajr.vol24no2.381

Ultrasound as screening modality in management of fever cases in dengue epidemic: Study of 202 cases

Dr. Nayanigari Krishnaveni, Bakka Sarada, Nagireddy Vasundhara, Chinnaprolu Deepa, Kondur Padma (Author)

135-141

Views | PDF/EPUB Downloads : 195 / 17 / 18
DOI: https://doi.org/10.82235/wajr.vol24no2.382

Calcified cephalhematoma

Yashwanth Sandeep, Veda Dhruthy Samudrala,  Dr. Amit Agrawal (Author)

165-166

Views | PDF/EPUB Downloads : 121 / 25 / 17
DOI: https://doi.org/10.82235/wajr.vol24no2.373

Magnetic resonance imaging of congenital unilateral hypoplasia of the face

Dr. Niharika Kadiyala, Rajeswaran Rangasami, Kamakshi Dhanaraj (Author)

162-164

Views | PDF/EPUB Downloads : 89 / 20 / 23
DOI: https://doi.org/10.82235/wajr.vol24no2.375

Hepatic epithelioid hemangioendothelioma in a young nigerian presenting with massive hemorrhage: A case report and review of the literature

Dr. Adeleye Dorcas Omisore, Olukayode Adeolu Arowolo, Cathyln Akindiose, Stephen Olaoluwa Onigbinde, Ademola Idowu Soremekun (Author)

167-170

Views | PDF/EPUB Downloads : 65 / 25 / 21
DOI: https://doi.org/10.82235/wajr.vol24no2.374