Published: 2025-08-15

Role of Diffusion‑weighted Imaging in Acute Stroke Management using Low‑field Magnetic Resonance Imaging in Resource‑limited Settings

K Okorie Chinonye, I Ogbole Godwin, O. Owolabi Mayowa, Ogun Olufunmilola, Adeyinka Abiodun, Ogunniyi Adesola (Author)

61-66

Views | PDF/EPUB Downloads : 190 / 19 / 15
DOI: https://doi.org/10.82235/wajr.vol22no2.310

A Radiographic Study of the Anterior Loop and Mental Foramen in a Selected North Indian Population

Swati Gupta, Dr. Ravi Prakash SM, Goel Sumit, Mallik Sangeeta, Goel Swati, Keswani Tanushree (Author)

86-91

Views | PDF/EPUB Downloads : 131 / 22 / 13
DOI: https://doi.org/10.82235/wajr.vol22no2.304

Cranial Computed Tomographic Findings in Head‑Injured Patients during Communal/ Ethno‑Religious Crises: Jos Experience

Dr. Charles Chibunna Ani, Daniel Pam Stephen, Ekedigwe John, Omini Paulinus Samson (Author)

71-75

Views | PDF/EPUB Downloads : 149 / 20 / 17
DOI: https://doi.org/10.82235/wajr.vol22no2.305

Evaluation of Central Venous Catheter Insertion using Chest X‑ray in Critically Ill Patients

Dr. Nicholas Kayode Irurhe, Olubodun Adekola Oyebola, Desalu Ibironke, A Raji Victor, Peters Chizoba (Author)

67-70

Views | PDF/EPUB Downloads : 167 / 20 / 18
DOI: https://doi.org/10.82235/wajr.vol22no2.306

Greyscale Appearance of Film‑screen Radiographic Artefacts in a University Teaching Hospital

Mr. Thomas Adejoh, WI Onwuzu Sobechukwu, C Ikegwuonu Nwamaka, B Nkubli Flavious (Author)

82-85

Views | PDF/EPUB Downloads : 56 / 26 / 19
DOI: https://doi.org/10.82235/wajr.vol22no2.307

Mammographic Calcifications in Women in Ibadan, South‑West Nigeria: A Seven Years Review

Dr. Adenike Temitayo Adeniji‑Sofoluwe, Olubunmi Obajimi Millicent, Olusunmade Doyin (Author)

76-81

Views | PDF/EPUB Downloads : 163 / 15 / 17
DOI: https://doi.org/10.82235/wajr.vol22no2.308
Views | PDF/EPUB Downloads : 148 / 16 / 22
DOI: https://doi.org/10.82235/wajr.vol22no2.309
Views | PDF/EPUB Downloads : 117 / 22 / 14
DOI: https://doi.org/10.82235/wajr.vol22no2.296

Candida Esophagitis: Feathery Appearance as a New Sign on Barium Esophagogram

AM Adesiyun Olusola, Peter Oladapo Adeoye, Chima Kingsley Pascal Ofoegbu, Abayomi Fadeyi, Olalekan Ibukun Oyinloye, Dr. Mutiu Oladapo Atobatele (Author)

110-112

Views | PDF/EPUB Downloads : 79 / 25 / 17
DOI: https://doi.org/10.82235/wajr.vol22no2.299
Views | PDF/EPUB Downloads : 69 / 28 / 15
DOI: https://doi.org/10.82235/wajr.vol22no2.300

Myoepithelioma of Soft Palate: Radiologic‑pathologic Correlation

Dr. Yadavalli Guruprasad, Dinesh Singh Chauhan (Author)

97-100

Views | PDF/EPUB Downloads : 122 / 15 / 19
DOI: https://doi.org/10.82235/wajr.vol22no2.301

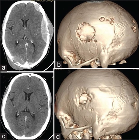
Primary Multifocal Skull Vault Lymphoma in an Acquired Immunodeficiency Syndrome Patient

Dr. Pradeep Choudhary, Sarita Kalwaniya, Laxmi Agarwal, Sangeeta Saxena (Author)

107-109

Views | PDF/EPUB Downloads : 173 / 12 / 14
DOI: https://doi.org/10.82235/wajr.vol22no2.302

Right Aortic Arch with Aberrant Left Subclavian Artery in Takayasu Arteritis

Dr. Mansoor CA, A. Jemshad, Jaleel V Abdul, KN Nagabhushan (Author)

113-115

Views | PDF/EPUB Downloads : 109 / 14 / 20
DOI: https://doi.org/10.82235/wajr.vol22no2.303