Published: 2025-08-15

Views | PDF/EPUB Downloads : 335 / 40
DOI: https://doi.org/10.82235/wajr.vol23no1.317

Normal Anatomical Variations of Maxillary Sinus Septa using Computerized Tomography from Sokoto Northwestern Nigeria

Dr. Aliu Abdul‑Hameed, Abdullahi Daudu Zagga, Ma’aji Sadisu Mohammad, Bello Abubakar, Sirajo Shiitu Bello, Jibrin Danjuma Usman, Muhammad Awwal Tadros Abdo Aziz Musa (Author)

12-15

Views | PDF/EPUB Downloads : 270 / 30 / 21
DOI: https://doi.org/10.82235/wajr.vol23no1.318

Pattern of Mammography Findings among Symptomatic Females Referred for Diagnostic Mammography at a Tertiary Center in South‑East Nigeria

Rufina Ebubedike Uzoamaka, Dr. Eric Okechukwu Umeh, Stanley NC Anyanwu, Cornelius O Ukah, Nwamaka Chizube Ikegwuonu (Author)

23-27

Views | PDF/EPUB Downloads : 183 / 38 / 26
DOI: https://doi.org/10.82235/wajr.vol23no1.319

Plain X‑ray Findings Among Chest Trauma Patients in Lagos

 Dr. Sowunmi AC, Fatiregun Omolara Aminat, Popoola Olaniyi Abiodun, Nicholas K Irurhe, Ibitoye A Zaccheus, Ajayi Olubukola Temitope (Author)

16-19

Views | PDF/EPUB Downloads : 219 / 30 / 21
DOI: https://doi.org/10.82235/wajr.vol23no1.320
Views | PDF/EPUB Downloads : 394 / 61 / 29
DOI: https://doi.org/10.82235/wajr.vol23no1.321

Review of Initial Outcome of Radiofrequency Cardiac Catheter Ablations of Accessory Pathways Carried Out at Madras Medical Mission, India

Dr. Kelechukwu Uwanurochi, Sabari Saravanan, Anita Ganasekar, Benjamin Solomon, Ravikumar Murugesan, Jaishankar Krishnamoorthy, Ulhas M Pandurangi (Author)

28-31

Views | PDF/EPUB Downloads : 164 / 32 / 20
DOI: https://doi.org/10.82235/wajr.vol23no1.322

Time Bound Regression of Pituitary Hyperplasia in Primary Pituitary Hypothyroidism Following Treatment

Dr. Ravindra Bhimrao Kamble, Babu Satish, Nagaraj Diwakar, Sanjeev Jayateerth Mudakavi (Author)

20-22

Views | PDF/EPUB Downloads : 232 / 34 / 20
DOI: https://doi.org/10.82235/wajr.vol23no1.323
Views | PDF/EPUB Downloads : 206 / 45 / 29
DOI: https://doi.org/10.82235/wajr.vol23no1.311

Gastric Leiomyoma Presenting with Massive Hematemesis in a Nigerian

Dr. Aderemi Omololu Oluyemi, Krishna Waghmare Sumedh (Author)

49-51

Views | PDF/EPUB Downloads : 200 / 44 / 22
DOI: https://doi.org/10.82235/wajr.vol23no1.312

Human Pentastomiasis

Rivera Odalys, Dr. Abdul‑Subulr Yakubu, Betancourt Benjamin Manuel (Author)

46-48

Views | PDF/EPUB Downloads : 69 / 38 / 25
DOI: https://doi.org/10.82235/wajr.vol23no1.313

Magnetic Resonance Tractography in Malignant Peripheral Nerve Sheath Tumor

Dr. Ravindra B Kamble, Jayateerth Mudakavi Sanjeev , Seetaram Raghvendra, Nagraj Diwakar (Author)

43-45

Views | PDF/EPUB Downloads : 205 / 30 / 26
DOI: https://doi.org/10.82235/wajr.vol23no1.314

Serial Imaging in a Case of Regional Migratory Osteoporosis

Dr. Kamble B Ravindra, Mudakavi Sanjeev, N Diwakar, GK Iyer (Author)

36-39

Views | PDF/EPUB Downloads : 230 / 32 / 33
DOI: https://doi.org/10.82235/wajr.vol23no1.315

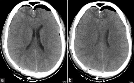
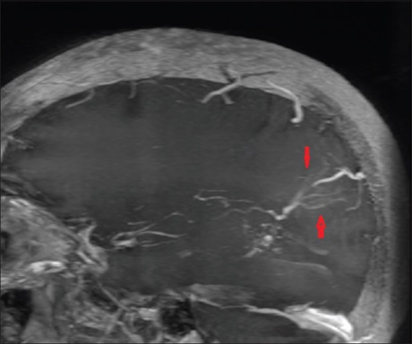
Trigonal Cavernoma with Developmental Venous Anomaly Causing Intraventricular Haemorrhage: A Once in Blue Moon Association

Dr. Ramakrishna Narra, Kumar Kamaraju Suseel, Mary Jehendran Varunya, Haneef D Mohammad (Author)

40-42

Views | PDF/EPUB Downloads : 152 / 33 / 22
DOI: https://doi.org/10.82235/wajr.vol23no1.316
Views | PDF/EPUB Downloads : 76 / 25 / 23
DOI: https://doi.org/10.82235/wajr.vol23no1.324