Published: 2025-08-15

Observing Best Practice In Accidental Exposures In Radiotherapy: A Review Article

Dr. Adewuyi, S. A., K. K. Ketiku, I. J. Okoye (Author)

50-58

Views | PDF/EPUB Downloads : 122 / 23
DOI: https://doi.org/10.82235/wajr.vol13no1.169
Views | PDF/EPUB Downloads : 42 / 16
DOI: https://doi.org/10.82235/wajr.vol13no1.161
Views | PDF/EPUB Downloads : 48 / 20
DOI: https://doi.org/10.82235/wajr.vol13no1.162

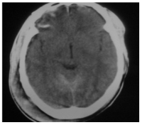
Computed Tomography Findings In Head Trauma In Sokoto (North Western Nigeria)

Dr. K. Isyaku, DR.S. A. Sai'idu, Dr. A. M. TABARI (Author)

8-13

Views | PDF/EPUB Downloads : 59 / 21
DOI: https://doi.org/10.82235/wajr.vol13no1.163

Dermatofibroma Of The Foot Mimicking Neurofibroma Radiologically

Dr. Agunloye A. M., O. M. Atalabi, A. O. Ogunseyinde, M. O. Obajimi, A. O. Adeyinka (Author)

14-15

Views | PDF/EPUB Downloads : 47 / 27
DOI: https://doi.org/10.82235/wajr.vol13no1.164
Views | PDF/EPUB Downloads : 68 / 22
DOI: https://doi.org/10.82235/wajr.vol13no1.165

Hepatic Cysts: A Review Of 219 Cases Diagnosed By Ultrasonography In Enugu, South Eastern Nigeria.

Samuel O. Mgbor, Sylvester Chuks Nwokediuko, Augustine C. Onuh (Author)

1-7

Views | PDF/EPUB Downloads : 87 / 47
DOI: https://doi.org/10.82235/wajr.vol13no1.166

Hysterosalpingography In Itrogenic Uterine Fistula.

Dr. N. C. Nwankwo, A. O. U. Okpani (Author)

29-32

Views | PDF/EPUB Downloads : 55 / 18
DOI: https://doi.org/10.82235/wajr.vol13no1.145
Views | PDF/EPUB Downloads : 188 / 19
DOI: https://doi.org/10.82235/wajr.vol13no1.171

Retropharyngeal Abscess Sequel To Swallowed Meat Bone

Dr. Eze KC, DR. Awosanya GOG (Author)

18-21

Views | PDF/EPUB Downloads : 270 / 13
DOI: https://doi.org/10.82235/wajr.vol13no1.172
Views | PDF/EPUB Downloads : 57 / 23
DOI: https://doi.org/10.82235/wajr.vol13no1.177
Views | PDF/EPUB Downloads : 76 / 23
DOI: https://doi.org/10.82235/wajr.vol13no1.170